Trending Post...
-
Pelayanan kesehatan gigi dan mulut yang selama ini berjalan di Indonesia sebagian besar masih berada dalam tataran penanganan aspek kuratif...
-
Di dunia kedokteran gigi semakin berkembang tren untuk mempertahankan gigi selama mungkin. Salah satu usahanya adalah dengan tidak mudah unt...
-
Perawatan gigi pasca RCT kadang diakhiri dengan pembuatan crown baik all ceramic crown maupun all porcelain crown. Namun pada kasus kali ...
-
Berawal dari makin seringnya penggunan terapi 3mix pada kasus-kasus dengan indikasi endodontik dan munculnya respon negatif dari pasien maka...
-
Perawatan behel biasanya memerlukan waktu yang relatif lama. Dalam jangka waktu tersebut tentu upaya pembersihan gigi menjadi tidak maks...
Friday, December 24, 2010
Tips Menyikat Gigi
Friday, December 10, 2010
Orthodontik Cekat: haramkah untuk General Dentist?
Sunday, December 5, 2010
Tips n' Trick : Tumpatan Kelas IV dengan Warna Komposit Tidak Lengkap
Dental Nurse "bukan sekedar pelengkap penderita"
Thursday, September 23, 2010
Direct Labial Composite Veneer: solusi hemat estetika anda

Tuesday, September 21, 2010
Mencegah Anak makan manis tidak harus dengan Melarang

Saturday, August 21, 2010
"Halo adek kecil, ga dilarang kok makan cokelat"

Wednesday, June 9, 2010
Kegagalan 3mix pada kasus pulpitis ireversibel kronis: case report

Case: wanita 29 tahun datang dengan keluhan bengkak pada regio kiri bawah, sakit berdenyut. 3 hari yang lalu datang ke dokter gigi lain untuk memeriksakan giginya yang terasa sakit buat makan dan terasa berdenyut. Gigi tersebut sudah pernah ditambal oleh mahasiswa kedokteran gigi +/- 3 tahun yang lalu. oleh dokter gigi dilakukan pembukaan kamar pulpa, diberikan dressing 3 mix dan ditumpat sementara. 2 hari kemudian gigi tersebut terasa lebih sakit dan muncul bengkak, pasien minum obat antibiotik dan antiinflamasi tapi sakit hanya berkurang sedikit, pasien memutuskan untuk mencari second opinion.
Friday, June 4, 2010
Periodontal Abses vs alveolar abses: case report
Salam sahabat denta....
Saturday, May 29, 2010
Ekstrusi Pasta kalsium Hidroksid pada antar waktu perawatan Endodontik : case report
Pasta Kalsium hidroksid terkadang kita gunakan dalam antar waktu perawatan endodontik sebagai medikamen dressing, kalo ternyata keluar ke jaringan periapikal bagaimana ya????
File Patah??? ada solusinya.....
Perawatan endodontik kadang bisa berubah menjadi sebuah tragedi, misalnya saat K-file yang kita gunakan patah di dalam saluran akar.
Wednesday, May 26, 2010
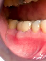
Kesehatan gigi dan mulut bagi ibu hamil
Dok, kenapa jika saya sedang hamil, gigi dan gusi seringkali terasa sakit. Gusi mudah berdarah di beberapa tempat dan bentuknya berbenjol-benjol?
Demikian keluhan ibu hamil ketika mengunjungi dokter gigi. Kehadiran anak bagi setiap keluarga adalah sesuatu yang sangat istimewa dan dinanti-nantikan kehadirannya. Kehamilan adalah masa-masa yang penuh perhatian, baik untuk ibu hamil juga si jabang bayi.
Pada saat ini ibu hamil betul-betul harus menjaga kondisi kesehatan dengan baik, mengonsumsi berbagai jenis makanan dan vitamin demi kesehatan ibu dan bayinya. Kehamilan adalah suatu proses fisiologis yang dapat menimbulkan perubahan-perubahan pada tubuh wanita, baik fisik maupun psikis.
Keadaan ini disebabkan adanya perubahan hormon estrogen dan progesteron. Saat kehamilan disertai berbagai keluhan lain seperti ngidam, mual, muntah termasuk keluhan sakit gigi dan mulut. Kondisi gigi dan mulut ibu hamil seringkali ditandai dengan adanya pembesaran gusi yang mudah berdarah karena jaringan gusi merespons secara berlebihan terhadap iritasi lokal.
Bentuk iritasi lokal ini berupa karang gigi, gigi berlubang, susunan gigi tidak rata atau adanya sisa akar gigi yang tidak dicabut. Hal ini sangat berbeda dengan keadaan ibu pada saat tidak hamil.
Pembesaran gusi ibu hamil biasa dimulai pada trisemester pertama sampai ketiga masa kehamilan. Keadaan ini disebabkan aktivitas hormonal yaitu hormon estrogen dan progesteron. Hormon progesteron pengaruhnya lebih besar terhadap proses inflamasi/peradangan. Pembesaran gusi akan mengalami penurunan pada kehamilan bulan ke-9 dan beberapa hari setelah melahirkan. Keadaannya akan kembali normal seperti sebelum hamil.
Pembesaran gusi ini dapat mengenai/menyerang pada semua tempat atau beberapa tempat (single/multiple) bentuk membulat, permukaan licin mengilat, berwarna merah menyala, konsistensi lunak, mudah berdarah bila kena sentuhan.
Pembesaran gusi ini di dunia kedokteran gigi disebut gingivitis gravidarum/pregnancy gravidarum/hyperplasia gravidarum sering muncul pada trisemester pertama kehamilan. Keadaan di atas tidaklah harus sama bagi setiap ibu hamil.
Faktor penyebab timbulnya gingivitis pada masa kehamilan dapat dibagi 2 bagian, yaitu penyebab primer dan sekunder.
1. Penyebab primer
Iritasi lokal seperti plak merupakan penyebab primer gingivitis masa kehamilan sama halnya seperti pada ibu yang tidak hamil, tetapi perubahan hormonal yang menyertai kehamilan dapat memperberat reaksi peradangan pada gusi oleh iritasi lokal.
Iritasi lokal tersebut adalah kalkulus/plak yang telah mengalami pengapuran, sisa-sisa makanan, tambalan kurang baik, gigi tiruan yang kurang baik.
Saat kehamilan terjadi perubahan dalam pemeliharaan kebersihan gigi dan mulut yang bisa disebabkan oleh timbulnya perasaan mual, muntah, perasaan takut ketika menggosok gigi karena timbul perdarahan gusi atau ibu terlalu lelah dengan kehamilannya sehingga ibu malas menggosok gigi. Keadaan ini dengan sendirinya akan menambah penumpukan plak sehingga memperburuk keadaan.
2. Penyebab sekunder
Kehamilan merupakan keadan fisiologis yang menyebabkan perubahan keseimbangan hormonal, terutama perubahan hormon estrogen dan progesteron. Peningkatan konsentrasi hormon estrogen dan progesteron pada masa kehamilan mempunyai efek bervariasi pada jaringan, di antaranya pelebaran pembuluh darah yang mengakibatkan bertambahnya aliran darah sehingga gusi menjadi lebih merah, bengkak dan mudah mengalami perdarahan.
Akan tetapi, jika kebersihan mulut terpelihara dengan baik selama kehamilan, perubahan mencolok pada jaringan gusi jarang terjadi. Keadaan klinis jaringan gusi selama kehamilan tidak berbeda jauh dengan jaringan gusi wanita yang tidak hamil, di antaranya;
a. Warna gusi, jaringan gusi yang mengalami peradangan berwarna merah terang sampai kebiruan, kadang-kadang berwarna merah tua.
b. Kontur gusi, reaksi peradangan lebih banyak terlihat di daerah sela-sela gigi dan pinggiran gusi terlihat membulat.
c. Konsistensi, daerah sela gigi dan pinggiran gusi terlihat bengkak, halus dan mengkilat. Bagian gusi yang membengkak akan melekuk bila ditekan, lunak, dan lentur.
d. Risiko perdarahan, warna merah tua menandakan bertambahnya aliran darah, keadaan ini akan meningkatkan risiko perdarahan gusi.
e. Luas peradangan, radang gusi pada masa kehamilan dapat terjadi secara lokal maupun menyeluruh. Proses peradangan dapat meluas sampai di bawah jaringan periodontal dan menyebabkan kerusakan lebih lanjut pada struktur tersebut.
Tindakan penanggulangan/perawatan radang gusi pada ibu hamil dibagi dalam 4 tahap, yaitu:
1. Tahap jaringan lunak, iritasi lokal merupakan penyebab timbulnya gingivitis. Oleh karena itu, tujuan dari penanggulangan gingivitis selama kehamilan adalah menghilangkan semua jenis iritasi lokal yang ada seperti plak, kalkulus, sisa makanan, perbaikan tambalan, dan perbaikan gigi tiruan yang kurng baik.
2. Tahap fungsional, tahap ini melakukan perbaikan fungsi gigi dan mulut seperti pembuatan tambalan pada gigi yang berlubang, pembuatan gigi tiruan, dll.
3. Tahap sistemik, tahap ini sangat diperhatikan sekali kesehatan ibu hamil secara menyeluruh, melakukan perawatan dan pencegahan gingivitis selama kehamilan. Keadaan ini penting diketahui karena sangat menentukan perawatan yang akan dilakukan.
4. Tahap pemeliharaan, tahap ini dilakukan untuk mencegah kambuhnya penyakit periodontal setelah perawatan. Tindakan yang dilakukan adalah pemeliharaan kebersihan mulut di rumah dan pemeriksaan secara periodik kesehatan jaringan periodontal.
Sebagai tindakan pencegahan agar gingivitis selama masa kehamilan tidak terjadi, setiap ibu hamil harus memperhatikan kebersihan mulut di rumah atau pemeriksaan secara berkala oleh dokter gigi sehingga semua iritasi lokal selama kehamilan dapat terdeteksi lebih dini dan dapat dihilangkan secepat mungkin. (drg. R. Ginandjar Aslama Maulid)
Penulis adalah dokter gigi di RS Al Islam Bandung.
Sumber : pikiran-rakyat.com
Sunday, February 21, 2010
Dokter/dokter gigi Keluarga ??? bisa-bisa aja...!

Mengapa paradigma itu menjadi sulit? atau dibuat sulit tepatnya? tidak lain karena belum adanya komitmen dari penanggungjawab untuk tidak berpolapikir instan, mengapa saya sebut instan? ya karena pemerintah dalam hal ini selalu mengesampingkan salah satu pilar utama pelayanan kesehatan yaitu preventif, selama ini tindakan preventif cenderung mengarah ke interseptif bahkan kuratif, padahal mereka tahu bahwa tanpa kesadaran preventif di masyarakat maka memang akan mustahil untuk meniadakan tindakan kuratif sedangkan tindakan kuratif itu berapapun biaya "penjaminan kesehatan" dari pemerintah saya jamin tidak akan cukup dan tidak akan merata.
Lalu mengapa bisa terjadi demikian? jawabannya mungkin akan sedikit berpolitik, tapi akan saya coba untuk menjawab. Sudah menjadi rahasia umum bahwa di negara tercinta Indonesia ini suatu kementrian begitu berganti menteri maka akan berganti pula kebijakannya termasuk di sini kementrian kesehatan. Sehingga program seperti dokter keluarga yang notabene tidak bisa instan dan cenderung rumit ini menjadi tidak populer bagi sang menteri. bayangkan dalam waktu 5 tahun kementrian harus mampu membuat progress yang terlihat sehingga menjadi sebuah prestasi, maka sebagai manusia yang yang memiliki akal dan logika, maka sang menteri akan mengarahkan pada kebijakan instan tadi seperti misalnya program jaminan kesehatan (jamkesmas, jamkesda, jamkessos, dll.)
Memang tidak ada yang meragukan bahwa program dokter keluarga itu sulit tapi kapan mau maju kalo tidak ada rintisannya, tentunya para dokter akan ingat bagaimana dulu saat latihan menyuntik pertama kali, latihan incisi (mengiris dengan pisau bedah-red) pertama kali tentu sulit bukan? yang dibutuhkan adalah suatu komitmen yang kuat dari pemerintah dalam hal ini depkes.
Tahun 2007 di Kota Bontang dicanangkan pilot project pelayanan dokter/dokter gigi keluarga, bisa dibaca artikelnya di SINI, dalam artikel tersebut arahnya sudah tampak menuju ke arah yang benar yaitu bahwa yang namanya dokter keluarga itu harus berparadigma sehat, apa artinya? seorang dokter keluarga bukanlah seorang "penjaga gawang" yang menunggu orang sakit yang datang ke tempat praktek ,melainkan seorang stiker yang menjemput bola. "bola" tersebut kemudian diolah dengan keilmuannya menjadikan masyarakat di wilayah kerjanya menjadi sehat dan apabila memang diperlukan barulah sebuah tindakan kuratif diberikan.
Semoga tetap berlanjut dan menular ke daerah-daerah yang lain. (Dimas)